माणूस कितीही सहनशील असला दातदुखी सहन करू शकत नाही. दातदुखीची एक तीव्र सणक जेव्हा डोक्यापर्यंत जाते तेव्हा सगळी कामे सोडून आपण डेंटिस्ट चा रस्ता पकडतो.या लेखामध्ये आपण जाणून घेऊया की का सुरू होते दातदुखी ? दातदुखी कमी करण्याचे आणि ती होऊच नये म्हणून घ्यावयाची काळजी !दातदुखी हा आपल्याला वाटतो पण तो अचानक उद्भवणारा आजार नाही.
आपले दात आपल्याला इशारा देत असतात, आपण तो दुर्लक्ष करून समस्या वाढवून बसतो.

पहिल्या टप्प्यात तर आधी तुमच्या दातात आधी अडकत नव्हते त्या भागात अन्न अडकायला लागले तर समजावे काही तरी समस्येची ही सुरुवात आहे. ही समस्या दात किंवा त्याभोवती असणाऱ्या हिरडीच्या आवरणाची असू शकते. वेळीच आपण जर दंतवैद्याकडे गेलो तर दाताची मशीनने सफाई करून किंवा सिमेंट भरून घेतले तर समस्या संपू शकते.
जर थंड-गरम काहीही खाल्ल्यावर वेदनेची सणक जात असेल तर ती दंत समस्येची सुरुवात असते. आधी फक्त थंड पदार्थांने वेदनाहोतात तेव्हाआपण घरच्या घरी सेन्सिटिव्ह टूथपेस्ट वापरायला सुरू करायला हवे. ज्या भागात जास्त सळसळ असेल तिथे दिवसातून दोनदा सेन्सिटिव्ह टूथपेस्ट मलम प्रमाणे चोळून १० मिनिटे ठेवून चुळ भरा. यांनी दातावर एक सुरक्षेचे आवरण तयार होऊन कालांतराने सळसळ कमी होते.जेव्हा आपण चावायला गेल्यावर एक नेमका दात दुखतो तेव्हा समस्या बऱ्यापैकी पसरायला सुरूवात झालेली असतो.
कारण : दातात इन्फेक्शन (कीड) सुरू झालेले असते.
पण जर चावतांना दुखलेले नंतर आपोआप कमी होत असेल तर समस्या अजून पण वाढलेली नाही हे लक्षात घ्या.
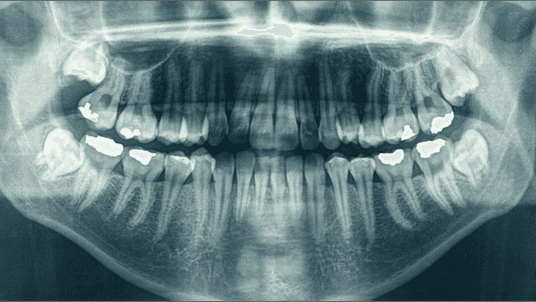
अशा दाताचा एक्स रे करून घेणे आवश्यक असते.
एक्स रे मध्ये जर कीड फक्त दाताच्या कडक भागात असेल तर अजूनही फक्त दातात सिमेंट भरून हा प्रश्न सुटतो.

कधी कधी दाताच्या भोवतालचे हिरडीचे आवरण आपण काही खातांना अडकून बसल्याने किंवा वारंवार तंबाखू इत्यादी खाऊन हुळहुळाल्याने हलकेसे सुजलेले असते. असे दात पण खाताना दुखतात पण नंतर आपोआप कमी होतात. तेव्हा सिमेंट ना भरता अश्या दातात खोल पर्यंत हिरडीची सफाई मशीनच्या साहाय्याने करून काही औषधे दिली जातात. अशा केसमध्ये तंबाखू सारखी सवय बंद ठेवल्यास समस्या हळूहळू संपू शकते.जेव्हा एखादा दात घास चावूच देत नाही, चावले तर उठणारी कळ असह्य असते, तेव्हा तो प्रॉब्लेम दाताच्या नसेपर्यंत गेलेला असतो.तेव्हा त्या दाताची रूट कॅनाल ट्रीटमेंट आवश्यक ठरते.अशा वेळेस लवकरात लवकर दंत वैद्याकडे जाणे चांगले.
आता रूट कॅनाल ट्रीटमेंट काय असते, ती कशी करतात, त्याने काय फायदे- तोटे होतात आणि त्याविषयी काही टिप्सवर जर एक विशेष लेख नंतर वाचूच पण त्याआधी रूट कॅनालबद्दल एक विनोद फार प्रसिद्ध आहे तो वाचा !!एकदा एका आज्जी बाई चे रूट कॅनाल चालू असते.
डॉक्टर: आज्जी तोंड मोठा उघडा.
आजी उघडतात.
डॉक्टरः अजून मोठ्ठा आ करा
आजी:अरे मेल्या आता माझ्या तोंडातच उभा राहून करणार असशील तर ते बूट बाहेर काढून ठेव!"

आता देते तुमच्या साठी काही टिप्स.
जेव्हा दात दुखतात तेव्हा दंतवैदयाकडे जाई पर्यंत घरी काय करावे ?
१थंड बर्फ कपड्यात बांधून त्याने दुःखर्या जागी बाहेरून हलके हलके शेकावे.
२ तात्पुरत्या उपायासाठी एखादी डोलो/ ब्रुफेन ची गोळी घ्यावी. ( मेडिकल वर बिना प्रिस्क्रिप्शन्शिवाय दिली जाणारी कोणतीही पेन किलर )
३ थंड, पातळ अन्न जास्त न चावता खावे.
काय अजिबात करू नये:
झंडू बाम अथवा तत्सम बाम लावणे.
लवंगी तेल, मिरेपूड, चुंना अथवा विब्बा वगैरे घालने.
गरम कपडा- बॅग ने शेकणे.
-हे सर्व करण्यात मरणांत दु:ख तर आहेच पण अतिशय धोकादायक पण आहे. याने चेहेऱ्यावर अचानक खूप सूज येऊन तोंड न उघडता येणे, डोळा बंद होणे, श्वास घेण्यात अडचण येणे असे प्रॉब्लेम्स होण्याची शक्यता असते आणि मग हॉस्पिटललाही जावे लागू शकते.

दातदुखी सुरू होऊ नये म्हणून उपाय:
रोज दोनदा ब्रश करावे सकाळी आणि झोपताना.
तंबाखू, गुटका,सिगारेट, पान आणि सुपारी सारखी व्यसने करू नयेत.
आणि सुरू असल्यास सोडण्याचा / हळू हळू कमी करण्याचा प्रयत्न करावा.
वर्षातून दोनदा दंत वैद्यांकडे जाऊन दाखवावे आणि गरज असल्यास मशीन ने दात साफ करून घ्यावेत. ( तंबाखू -गुटख्याचे व्यसन असणाऱ्यासाठी हे फार आवश्यक आहे) मित्रांनो लक्षात घ्या ,दात हा काही पुन्हा पुन्हा मिळणारा अवयव नाही. चांगले दात असतील तरच आपल्या पोटाला सुग्रास अन्न मिळवण्याचा आनंद मिळू शकतो. त्यामुळे आपल्या दाताची काळजी घेत राहूया.
लेखिका: डॉ. अवनी पाध्ये (BDS)






