तुम्हाला कोव्हिड होऊन गेला आहे का? त्यातून सहीसलामत बचावलो म्हणून तुम्ही देवाचे आभार मानत स्वतःची पाठ थोपटून घेतली आहे का? तसं असेल तर थांबा. एक मोठ्ठा श्वास घ्या, कारण त्याने शरीरात खोलवर काय गडबड करून ठेवली आहे हे तुम्हाला माहितीच नाहीये.
कोव्हिड टेस्ट पॉझिटिव्ह आली आणि नंतर फार काही त्रास न होता लक्षणं सौम्य झाली की आपल्याला सुटल्यासारखं वाटतं. 'चला एकदाचा होऊन गेला... आता काही भीती नाही' असं म्हणून या न्यायाने माणसं शूर होतात. पण म्हणून आपण खरोखर वाचलोय का? की या विषाणूने शरीरात अजून काही गडबड करून ठेवलीय? आणि तसं काही असेल तर ते कसं कळणार?

कोव्हिडमधून बरं झाल्यावर होणारी गुंतागुंत हा प्रत्यक्ष रोगाइतकाच गंभीर विषय आहे आणि हे दुष्परिणाम दुर्लक्ष करण्यासारखे नक्कीच नाहीत. कोव्हिडशी आपली गाठ पडल्याला आता दोन वर्षांपेक्षा जास्त काळ झाला. सुरुवातीला जमेल तसं आपण या विषाणूशी जुळवून घ्यायचा प्रयत्न केला. मास्क आले, हातांची नियमित स्वच्छता होऊ लागली, सोसंल(!) तितकं सोशल डिस्टंसिंग आपण पाळायला शिकलो. मोठ्या प्रमाणावर लसीकरण झाल्यावर आपण थोडे निर्धास्त झालो. कोरोनाविषयी सुरुवातीला असलेली भीती कमी झाली. पण म्हणून त्याच्यामुळे होणारे दुष्परिणाम हाही दुर्लक्ष करण्यासारखा विषय आहे का?

हा विषाणू तसा महाप्रतापी. फक्त फुफ्फुसंच नाही, तर हृदय, जठर यांच्यासारख्या अवयवांनाही त्याने कचाट्यात पकडलेलं आढळून आलं आहे. जंतुसंसर्ग कमी झाला तरी हे नुकसान लवकर भरून येत नाही हे तर अजूनच वाईट. मुळात कोव्हिड हा रोग प्रो-इन्फ्लमेटरी म्हणजे दाह उत्पन्न करणारा. ज्या अवयवावर हा विषाणू हल्ला करेल तेथे तो दाह निर्माण करणार. जेव्हा या विषाणूमुळे हृदयावर परिणाम होतो तेव्हा हृदयाच्या स्नायूंचा दाह होतो. त्याला मायोकार्डायटीस म्हणतात. कधीकधी हृदयाच्या आजुबाजूला असलेल्या पिशवीचा दाह होतो. त्याला पेरीकार्डायटीस म्हणतात.
पण हे आपल्याला कसं जाणवतं?
कोरोना इन्फेक्शननंतर अनेक जण हृदयाचे ठोके वाढल्याची तक्रार करतात. निरोगी व्यक्तीमध्ये दर मिनिटाला हृदयाचे ६० ते १०० ठोके पडतात. ही गती यापेक्षा जास्त असेल तर कुछ तो गडबड है. त्यासाठी डॉक्टरी सल्ला हवाच. वैद्यकीय भाषेत याला टॅकीकार्डिया असं नाव आहे.

कोव्हिडमधून बरं झाल्यावर अगदी साधीसाधी कामं केल्यावरही हृदयाची धडधड वाढल्यासारखी वाटतेय? पूर्वी जी कामं अगदी सहज होऊन जायची ती करताना आता पार थकायला होतंय? एवढंसं चालल्यावरही धाप लागल्यासारखं वाटतंय? ही लक्षणं काही दिवसांनंतरही कमी होत नाहीयेत? या प्रश्नांची उत्तरं 'हो' असतील तर कोव्हिडमुळे तुमच्या हृदयावर परिणाम झाला असण्याची शक्यता आहे. कोरोना संसर्गानंतरचा पहिला महिना, विशेषकरून पहिला आठवडा, यादृष्टीने सगळ्यात महत्त्वाचा. या काळात हृदयविकाराचा झटका येणं किंवा रक्ताच्या गुठळ्या होणं यांचा धोका जवळपास तीन ते आठ पटीने वाढलेला असतो.

हृदयाशी संबंधित लक्षणे ज्या रुग्णांना जाणवतात त्यामध्ये प्रामुख्याने पुढील प्रकारचे रुग्ण येतात:
- ताप, जंतुसंसर्ग आणि न्यूमोनियासदृश लक्षणं असलेले
- कोरोना संसर्ग झाल्यानंतर रक्तदाब अचानक वाढला किंवा कमी झाला आहे असे
- हृदयाचे स्नायू किंवा हृदयाकडून रक्त वाहून नेणाऱ्या रक्तवाहिन्या मुळातच कमकुवत असलेले
- पूर्वीपासून हृदयविकार, मधुमेह, स्थूलत्व, उच्च रक्तदाब हे विकार असलेले
कोरोना संसर्गामुळे हृदयाला जोडणाऱ्या रक्तवाहिन्यांच्या आतल्या भिंतींवर परिणाम होतो. त्यामुळे या रक्तवाहिन्यांचा दाह, रक्ताच्या गुठळ्या तयार होणं यांसारख्या समस्या उद्भवतात.
याशिवाय कोरोना संसर्गामुळे हृदयाशी संबंधित पुढील लक्षणं दिसतात.
- छातीत धडधड, अस्वस्थ वाटणं
- घेरी आल्यासारखं वाटणं
- प्रचंड प्रमाणात थकवा
- धाप लागणं

सगळ्यात महत्त्वाचं: हार्ट रेट वाढणं एवढं धोकादायक का आहे?
आपलं हृदय प्रत्येक मिनिटाला साधारण ६० ते १०० वेळा धडधडतं. प्रत्येक ठोक्याच्या वेळी ते एखाद्या पंपाप्रमाणे रक्तवाहिन्यांमध्ये रक्त ढकलतं. जर हे ठोके वाढले म्हणजेच हार्ट रेट वाढला तर प्रत्येक स्पंदनासोबत बाहेर ढकललं जाणारं रक्त कमी होत जातं. जर हार्ट रेट प्रमाणाबाहेर वाढला तर प्रत्येक ठोक्याच्या वेळी पंप केल्या जाणाऱ्या रक्ताचं प्रमाण अतिशय कमी होतं. अनेकदा हृदयाची नुसती पंपिंग सारखी हालचाल होते, पण प्रत्यक्षात रक्त बाहेर टाकलं जात नाही आणि त्यामुळे ते इतर अवयवांनाही पुरवलं जात नाही. हे रुग्णाच्या जीवावर बेतू शकतं.

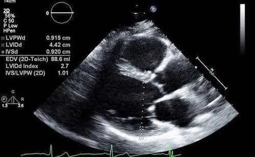
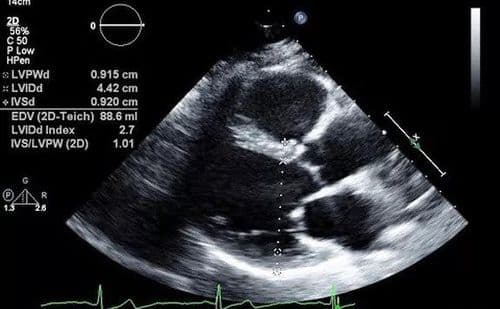
हा धोका टाळण्यासाठी बरं झाल्यानंतर हृदयविकारतज्ञांचा सल्ला घ्या. त्यांच्या सल्ल्याने ईसीजी, टू डी इको यासारख्या चाचण्या करून घ्या. विशेषतः छातीत दुखणं, धाप लागणं अशी लक्षणं असतील तर हे करणं गरजेचं आहे.
आणि समजा, या चाचण्यांचे निकाल चांगले आले तर मात्र तुम्ही खरोखर बचावलात. निदान सध्या तरी असं मानायला हरकत नाही.
स्मिता जोगळेकर






